Disable Preloader
Contact Info
green-alphatech@gmail.com
green-alphatech@gmail.com
Home
Products & Solutions
Keys for Abutments
Category
Guided Surgery
Prostherics
Healing Abutments
Training & Education
Video Galerry
Surgical Cases Study
Company
About Company
Strategy & Vision
Our Staff
Medical Certificates
More
Informations
Our Team
Surgical Case Study Details
Home
Surgical Case Study Details
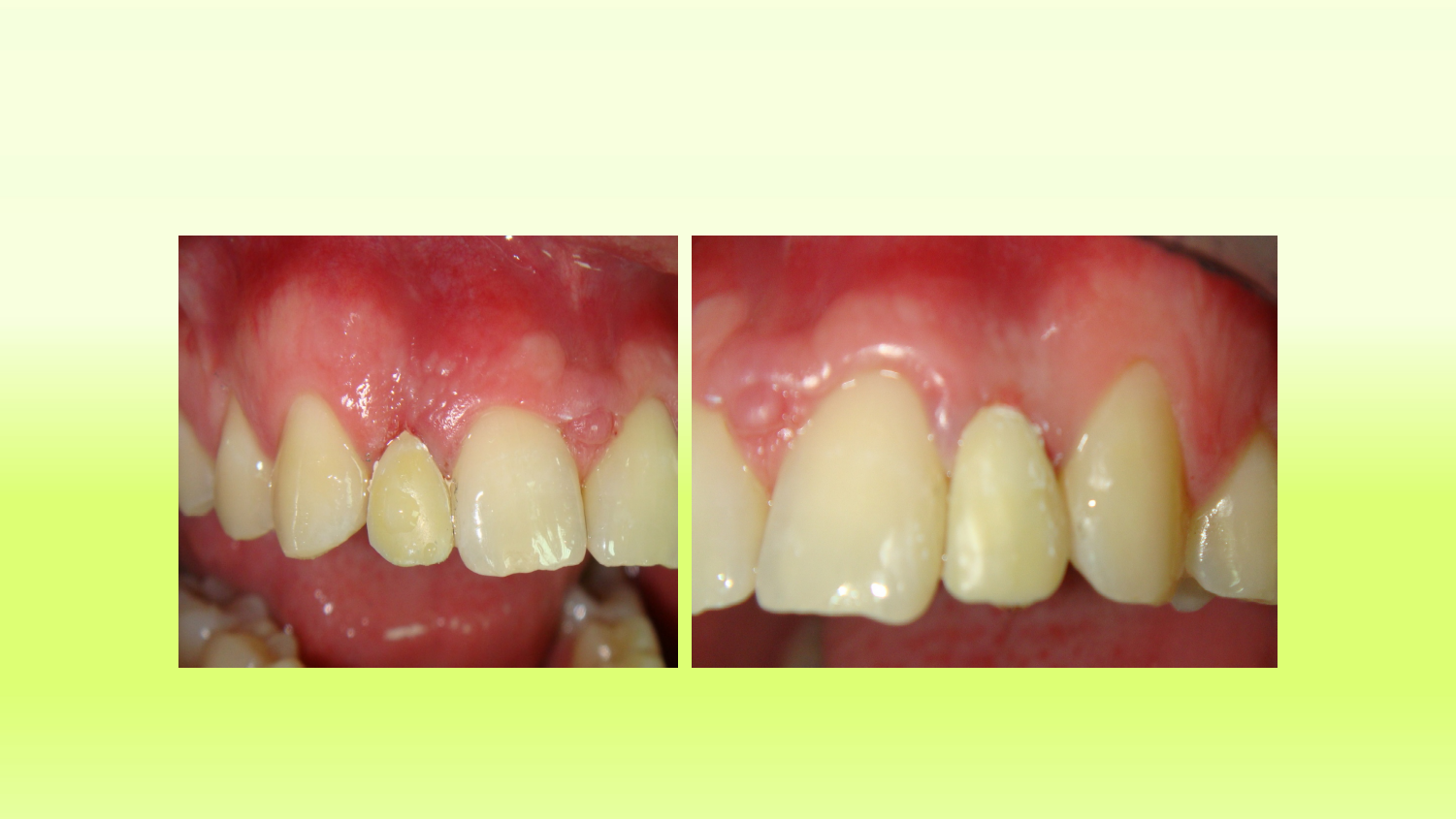
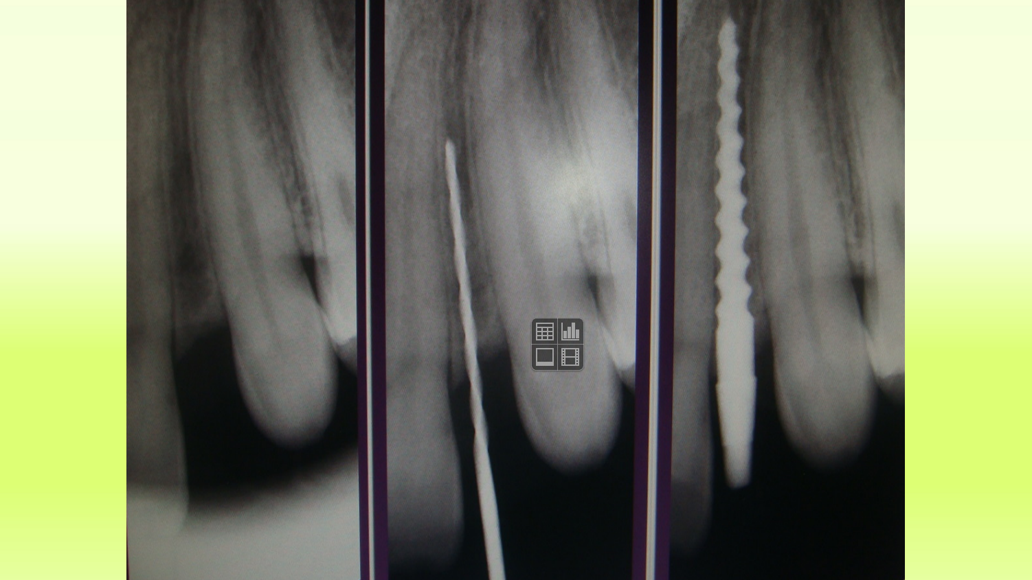
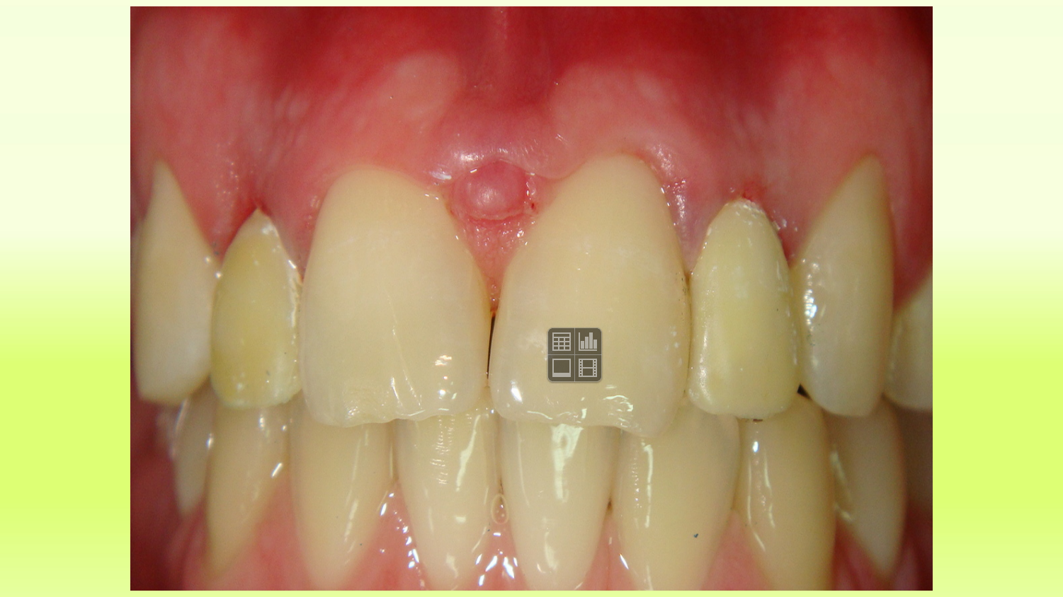
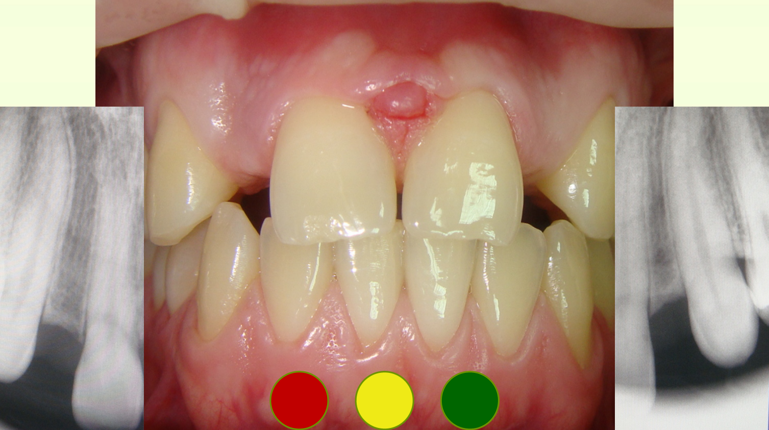
Case 12
“Vector” Implant placement in the area of 22 and 12 missing teeth is the only correct solution.